안녕하세요, 릴리 피부과 심청이입니다 🙂
오늘 아침, 진료 시작 전에 잠깐 과일을 먹고 있었는데요.
복숭아 한 입 베어 물다가 갑자기… “읍!” 하고 사례가 걸려버렸습니다.
아니, 이제는 하다 하다 과일 먹다가 사례가 걸리는 나이가 와버린 걸까요?
목이 따끔하고 얼굴은 순간 빨개지고, 물 찾느라 우왕좌왕하고…
아침 준비하면서 괜히 너무 바쁘게 움직였나 싶더라고요 😮💨
그렇게 정신없는 시작을 하고 진료실 문을 열었는데,
오늘 첫 상담 내용이 또 묘하게 제 상황과 닮아 있었습니다.
“선생님, 가까운 피부과에서 그냥 바로 여드름 치료 받아버렸는데…
오히려 더 자극 받은 것 같아요.”
아침 사례처럼, 뭔가 시선을 안 잡고 급하게 하면 더 크게 돌아오는 경우.
여드름 치료도 딱 이런 케이스가 많습니다.
그래서 오늘은 실제 환자분 이야기를 바탕으로
“가까운 피부과에서 아무 준비 없이 바로 여드름 치료 받으면 생길 수 있는 일”에 대해
전문의 시선으로 차근차근 설명드려보려고 합니다.
“가까운 피부과에서 그냥 받아봤는데… 오히려 더 빨갛게 됐어요”
오늘 첫 상담 오신 20대 초반 직장인 고객님.
퇴근길에 집 근처 피부과에서 여드름 압출을 받아보셨다고 하더라고요.
“예약 없이 바로 가능하다고 해서요.
그냥 여드름 좀 짜주면 깨끗해질 줄 알았거든요… 근데”

그 뒤에 이어진 말은 예상 밖이었습니다.
“받고 나서 일주일 넘게 붉기만 했어요. 오히려 화농이 더 생기고, 만지면 아프고…
저 같은 피부엔 이거 하면 안 되는 거였나요?”
이런 고민을 하시는 분들이 정말 많아요.
특히 ‘여드름 = 그냥 짜는 거’라고 생각하는 분들.
그래서 집 가까운 곳에서, 바로, 저렴하게 해주면 좋은 거라고 착각하기 쉽습니다.
하지만 실제로는 여드름마다 ‘짜면 안 되는 시기’와 ‘짜도 되는 시기’,
‘건드리면 악화되는 타입’이 다 달라요.
고객님은 표면에 살짝 올라온 것처럼 보였지만,
실제로는 피부 장벽이 매우 약한 민감성·지루성 복합 타입이었고,
손으로 누르는 방식의 강한 압출은 오히려 염증을 악화시키는 유형이었습니다.
그래서 결과가 더 안 좋아진 것뿐이에요.
“여드름은 아무 데서나 ‘그냥 짜면’ 안 되는 이유”
여드름 치료에서 가장 중요한 건 결국 진단이에요.
겉에서 보면 그냥 “정리 좀 하면 되겠다” 싶은데,
막상 피부 속에서는 전혀 다른 일이 벌어지고 있거든요.

특히 피부 장벽이 이미 무너져 있다든지,
지루성인데 동시에 민감성이 섞여 있다든지,
염증성 여드름이 자리 잡고 있다든지, 각질이 과하게 쌓여 있다든지,
건드리기만 해도 색소침착이 바로 올라오는 피부라면 더더욱 그렇습니다.
이런 피부를 아무 데서나, 똑같은 방식으로 압출해버리면…
정말 순식간에 상황이 악화돼요.
붉어짐은 심해지고, 염증은 더 깊어지고,
흉터 생길 가능성은 두 배로 올라가고, 색소침착까지 길게 남는 경우도 많습니다.
그래서 여드름은 테크닉보다 ‘그 사람 피부에 맞는 방법을 선택하는 판단’이 훨씬 중요해요.
압출이 필요한 여드름도 분명 있고, 절대 건드리면 안 되는 여드름도 있어요.
어떤 분은 약물 치료가 먼저고, 어떤 분은 레이저 조절이 우선이고,
또 어떤 분은 장벽 회복부터 시작해야 치료가 제대로 먹혀요.
그래서 제가 항상 처음에 하는 말은 한 가지예요.
“일단 진단부터 해볼게요.”
결국 그게 시간도, 비용도, 피부도 가장 덜 다치게 하는 방법이니까요.
그런 피부에는 ‘자극을 최소화하는 치료 + 크림’이 필요합니다
솔직히 고객님 같은 피부 타입은
“조금만 건드려도 바로 티 나는 피부”… 그 자체였습니다.
얇고 예민하고, 붉어지기 쉬운 분들은 괜히 세게 치료하면 바로 반발하거든요.

그래서 저는 처음부터 방향을 딱 정했어요.
“자극 없이 진정시키면서, 피지는 조용히 설득하는 전략으로 갑니다.”
무슨 말이냐면, 힘으로 누르거나 짜는 게 아니라
피부가 스스로 균형을 찾도록 환경을 만들어주는 방식이에요.
그래서 두 가지를 추천드렸습니다.
첫 번째는 저자극 여드름 관리.
딥클렌징으로 막힌 길을 부드럽게 뚫어주고,
진정 레이저로 붉어진 신호등을 잠시 꺼주고,
항염 케어로 “진정해… 진정하자…” 달래는 느낌이죠.
강한 압출 없이도 과한 피지가 정리되고, 염증이 금방 잦아들어요.
두 번째는 민감성 여드름 피부에 꼭 맞는 크림.
여드름 크림이라고 시중에 널린 게 많지만,
막상 성분 보면 “너무 세다… 이거는 민감피부에게 싸움 걸겠다는 건데?” 싶은 제품도 많아요.
그래서 저는 고객님 피부에 맞는 방향을 골라드렸어요.
붉은기 잡아주는 성분으로 기본 진정 베이스를 깔고,
세라마이드 계열로 장벽을 다시 세워주고,
피지 균형까지 잡아주는 저자극 포뮬러로 마무리하는 조합이죠.
민감피부에게는 이런 균형 잡힌 조합이 진짜 힘을 발휘해요.
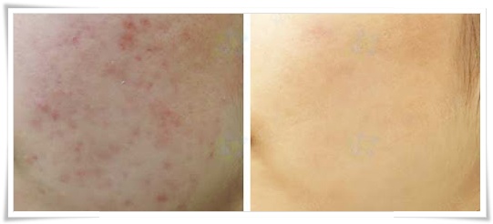
그리고 결과는?
2주 뒤 고객님이 오시자마자 첫마디가
“선생님, 피부가 덜 빨개요…!”였습니다 😄
붉은기는 훨씬 가라앉았고,새로 올라오던 여드름도 줄어들어서
전체 톤 자체가 안정됐어요.

피부가 예민할수록 억누르는 치료가 아니라
“잘 달래고, 잘 보강하고, 조용히 정리하는 접근”이
훨씬 효과적이라는 걸 다시 느낀 케이스였어요.
여드름 치료는 사실 “그냥 하면 되는 것”이 아니에요.
꼭 진단을 먼저 하고, 그다음에 방법을 선택하는 치료입니다.
오늘처럼 “가까운 데니까 그냥 받아봤어요”,
“짜면 깨끗해지겠지 싶어서 했는데 더 붉어졌어요”
이런 분들을 진료실에서 정말 자주 만나요.
하지만 여드름은 단순히 짜는 시술이 아니라
피부 상태를 보고 계획을 세우는 의학적 치료예요.
특히 예민하거나 염증이 많은 피부는 강하게 건드릴수록 더 화내고,
회복이 느려지고, 색소나 흉터가 남는 경우도 많습니다.
그래서 민감성·염증성 타입일수록 자극은 최소한으로 두고,
피부 장벽을 먼저 안정시키면서,
피지는 천천히 조절해주는 방식이 훨씬 안전하고 효과적이에요.
여드름은 결국,
잘 진단하고 → 자극 없는 방향으로 접근하고 →
피부에 맞는 치료와 크림을 쓰는 과정 속에서 흉터 없이 깔끔하게 회복될 수 있습니다.
내 피부가 어떤 타입인지, 지금 가장 필요한 게 무엇인지 궁금하다면
부담 없이 상담만 받아보셔도 괜찮아요 😊
